



Miércoles 7 de enero 2026 - 11.49 hs.
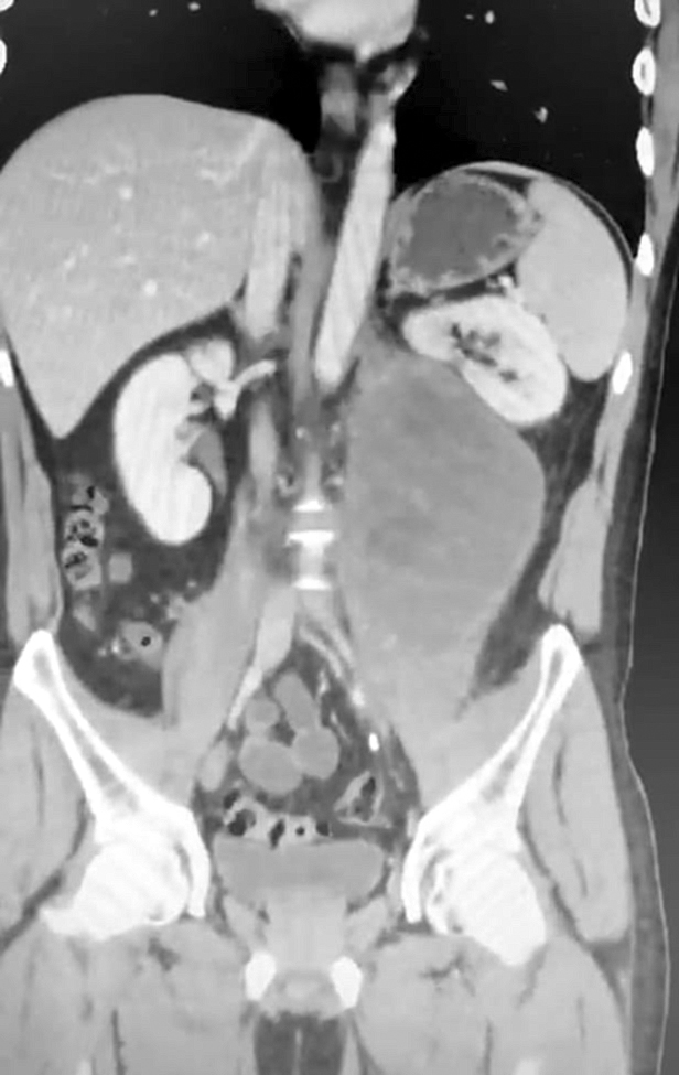
El servicio de Urología del Hospital de Especialidades Quirúrgicas IPS Ingavi realizó hoy una exitosa cirugía a un paciente de 37 años con diagnóstico de cáncer de testículo izquierdo en estadio 3. Tras cuatro sesiones de quimioterapia, el paciente presentaba una formación tumoral voluminosa en retroperitoneo izquierdo, de aproximadamente 20 cm de diámetro, que provocaba dolor lumbar y trastornos intestinales.
El equipo de cirujanos, liderado por el Dr. Aldo Samaniego, el Dr. David Vera, el Dr. José Pino y la Dra. Sandra Lin, junto con el anestesista Dr. Alfredo Ugarte (h) y los licenciados Victor Núñez y Malena Petters como circulantes, logró extirpar la tumoración con éxito. El paciente se encuentra actualmente en sala, recuperándose satisfactoriamente.
¿Qué es el cáncer de testículo?
Es un tipo de cáncer que se desarrolla en los testículos, más común en hombres jóvenes y de mediana edad (15-39 años). Se presenta como un bulto indoloro o cambio en el testículo y es altamente tratable, incluso con metástasis, con excelentes tasas de curación mediante cirugía, quimioterapia y/o radioterapia.
El Dr. Aldo Samaniego manifiesta que, posterior a la intervención, la muestra del tumor se lleva para estudio al servicio de Anatomía Patológica para que el paciente siga su tratamiento urooncologico en el Hospital Central del IPS.

