


Lunes 20 de abril 2026 - 09.48 hs.
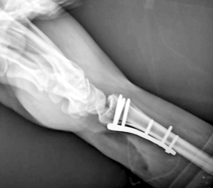
Gracias a la disponibilidad del arco en C, se ha logrado descongestionar centros de mayor complejidad y evitar traslados innecesarios. De esta manera, las intervenciones pueden realizarse localmente, favoreciendo la comodidad de los pacientes y reduciendo tiempos de espera en el sistema de salud.
Este fortalecimiento contribuye directamente a mejorar la capacidad resolutiva del servicio, consolidando un modelo de atención más eficiente y cercano. Asimismo, permite optimizar los recursos disponibles y garantizar una cobertura más amplia a la población que requiere atención especializada.
Los profesionales que hicieron posible estos avances: la Dra. Noelí Zavala, especialista en manos; el Dr. Sergio Trebastoni y el Dr. Enrique Torales, traumatólogos; así como al equipo de anestesiología integrado por el Dr. Gabriel Molinas, la Dra. Johanna Fariña y el Lic. Walter Villalba, junto al plantel de enfermería e instrumentación quirúrgica.

