


Lunes 26 de enero 2026 - 11.14 hs.
Un equipo de cirujanos del Hospital de Especialidades Quirúrgicas IPS Ingavi realizó con éxito la extracción de un hemangioma hepático gigante en una paciente de 30 años, oriunda de Fernando de la Mora, quien ingresó al centro asistencial con un cuadro de dolor abdominal, náuseas, vómitos, fiebre y dolor lumbar.
Durante su internación, los profesionales constataron un descenso progresivo de los niveles de hemoglobina, situación que requirió la transfusión de varios volúmenes de glóbulos rojos. Ante la persistencia de la anemia y la presencia de taquicardia, se decidió avanzar con estudios diagnósticos más específicos.
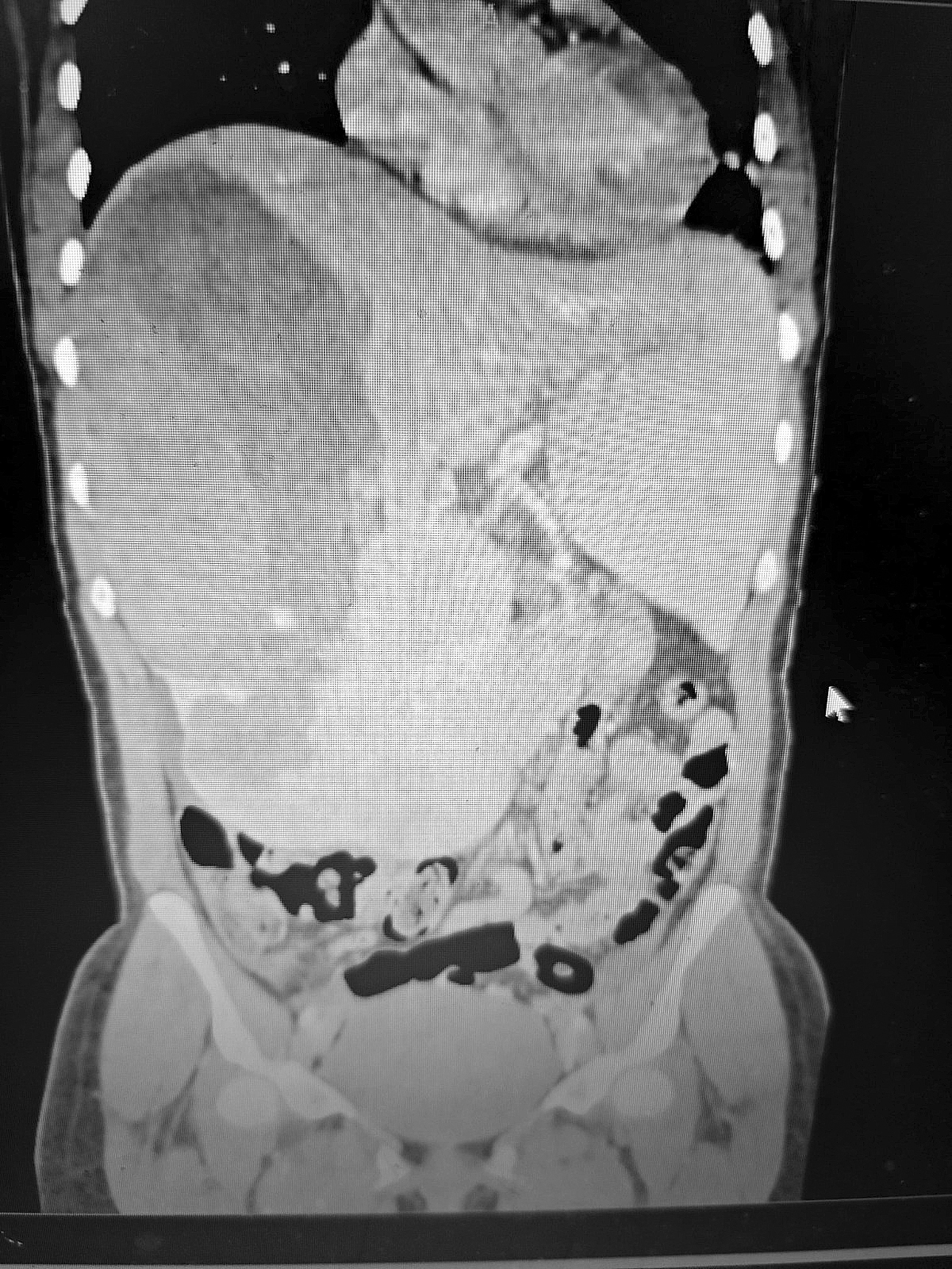
El Dr. Emilio Tonina, cirujano general del Hospital IPS Ingavi, explicó que los estudios de imágenes revelaron la presencia de una tumoración de gran tamaño en el lóbulo derecho del hígado. A pesar del soporte transfusional, la paciente continuó presentando inestabilidad, por lo que se indicó una cirugía de urgencia.
Durante la intervención se logró extraer un tumor de 12 centímetros de diámetro y 1,8 kilogramos de peso, mientras que el lóbulo derecho del hígado medía aproximadamente 15 centímetros. El resultado de la biopsia confirmó que se trataba de un hemangioma cavernoso gigante, mayor a 12 cm, complicado con una hemorragia intraparenquimatosa. Este tipo de tumor benigno de origen vascular es el más frecuente del hígado y se presenta con mayor incidencia en mujeres.
El Dr. Tonina señaló que los hemangiomas hepáticos suelen ser asintomáticos y que los síntomas aparecen generalmente cuando el tumor aumenta de tamaño o se complica, como ocurrió en este caso. “La paciente presentaba un sangrado activo dentro del hígado, lo que explicaba el descenso de la hemoglobina y la necesidad de una intervención urgente”, explicó.
La cirugía se desarrolló sin complicaciones. Posteriormente, la paciente permaneció cinco días en la Unidad de Cuidados Intensivos, con una evolución favorable. Una semana después de salir de terapia intensiva, recibió el alta médica y actualmente se encuentra retomando sus actividades cotidianas con normalidad.
El procedimiento fue realizado por un equipo multidisciplinario liderado por el Dr. Emilio Tonina, acompañado por los médicos residentes Dr. Richard Chamorro (R3), Dr. Carlos Escurra (R2) y Dr. José Gómez (R2). La instrumentación estuvo a cargo del Dr. Elías Ortiz (R1), mientras que la anestesia fue administrada por los doctores Walter Ferreira y Nicolás Espínola.

