


12 de diciembre 2025 - 11.48 hs.
El señor Jobino es un paciente de 52 años, trabajador y padre de familia oriundo de Canindeyú, quien acudió al servicio de Traumatología en el año 2017.
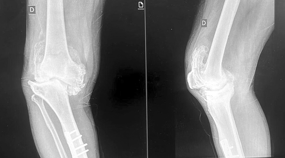
“Hace años empecé a sufrir lesiones. Vine al Hospital Central para realizar un estudio y después volví a trabajar porque soy del interior del país. Y con el tiempo mis piernas se empezaron a deformar. Así como arqueadas en 90 grados” comentó el señor Jobino.
“Por ese motivo tuve que jubilarme antes porque el dolor y la limitación era en ambos lados. Como tenía una placa anterior por debajo de la rodilla derecha no me pudieron poner la prótesis en aquel entonces, pero esta vez se hizo un milagro. Y se ejecutó muy pronto. Este doctor se puso en mi camino” explicó.
El Dr. César Salinas, médico del plantel de Traumatología del Hospital Central recordó que: “En esa oportunidad le habíamos realizado una cirugía de reemplazo articular de la rodilla izquierda con una prótesis total de rodilla de tipo primaria. Hace 8 años le habíamos intervenido y actualmente volvió a acudir, pero por un dolor en la rodilla derecha”.
“Entonces vimos la posibilidad de llevar a cabo la cirugía de la rodilla derecha al constatar la gran deformidad y artrosis que presentaba el paciente. El plan consistió en realizar un remplazo articular y corregir la deformidad con una prótesis total de tipo bisagra”.
“El paciente tuvo la mayor predisposición para realizar esta cirugía compleja. Desde el primer día, se puso en contacto con nosotros y se encargó de ver todos los detalles (evaluación pre-quirúrgica y la prótesis de rodilla)”.
“Con la colaboración del Departamento de Servicios Quirúrgicos de IPS Central pudimos realizar la cirugía de forma exitosa. El paciente presentaba un un varo y artrosis severa (grado IV) en la rodilla derecha. Una enfermedad degenerativa de la rodilla que con una prótesis primaria no se podría corregir la deformidad. Sin embargo, los especialistas de cirugía de rodilla de IPS ya realizan este tipo de cirugías de prótesis para grandes deformidades” señaló el médico.
“Si bien el señor Jobino tenía una deformidad bien pronunciada. Nuestro objetivo como traumatólogos es buscar que ambas rodillas estén compensadas (restablecer el eje de carga, recuperar la función y calmar el dolor)”.
El equipo que participó de la intervención estuvo conformado por tres especialistas de rodillas: El Dr. Diego Vázquez, Dr. Rafael Arellaga y el Dr. César Salinas.
“La cirugía se realizó en el quirófano del sexto piso con el apoyo del Departamento de Servicios Quirúrgicos, el servicio de Cirugía General y a los profesionales de Anestesia. Agradecerles a todos ellos también la atención correspondiente para llevar a cabo este procedimiento que duró tres horas y que fue todo un éxito” resaltó el profesional.
“Gracias a la innovación y la tecnología que se dispone podemos ofrecer mayor calidad de vida a los pacientes para que puedan recuperar su rutina diaria. Don Jobino es uno de los primeros en realizarse esta cirugía en el Hospital Central. Y así como Él acudió al servicio, otros pacientes también pueden recurrir al Hospital Central, en donde se les puede brindar los cuidados necesarios. Y mejorar su calidad de vida”.
Agradecimientos de don Jobino
“Principalmente agradezco de todo corazón al Dr. César Salinas por su buen trato y la predisposición. A sus compañeros de equipo. A todos los licenciados del servicio que me ayudaron y a todos los que hicieron esto posible”.
“Antes de operarme, le dije al doctor que ya no podía dormir del dolor. Y hace más de 5 días de la cirugía dormí súper bien. El dolor desapareció. Me atendieron muy bien. Invito a todos los pacientes como yo a que vengan y mejoren su vida” finalizó.

