




La Dra. Mara Gimenez médica cirujana perteneciente al staff del Servicio de Cirugía General del IPS Ingavi relata sobre una cirugía inédita por el tamaño del tumor que realizaron en la sala de quirófano dentro de las convencionales que realizan diariamente se trata de una paciente, de 50 años de edad, con diagnóstico de Feocromocitoma, (tumor poco común que generalmente se forma en las glándulas suprarrenales (encima de los riñones). Aunque suele ser benigno, produce hormonas del estrés como la adrenalina, lo que puede provocar síntomas graves.
La paciente consultó por dolor abdominal, presión alta y taquicardia de larga data, consultó con varios especialistas, no llegando al diagnóstico, hasta que llegó a nuestro centro por urgencias, donde se constata el tumor de gran tamaño.
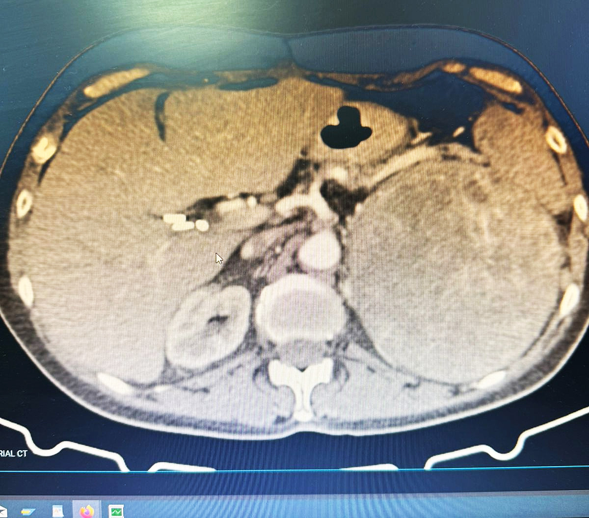
La profesional señala que este caso fue muy desafiante por la alta dificultad que presentó, debido al tamaño del tumor que fue de aprox. 25 cm de diámetro mayor y estaba adherido a otros órganos importantes y a múltiples arterias y venas de diferentes calibres que irrigaban al tumor.
El hallazgo operatorio fue de un tumor suprarrenal izquierdo de aproximadamente 25 cm de diámetro mayor, duro, elástico, de bordes regulares y bien delimitados, hipervascularizado, firmemente adherido al polo renal izquierdo, al parietocolico izquierdo, al hilio esplénico y al hemidiafragma ipsilateral.
La paciente paso a cuidados Intensivos en su post operatorio inmediato para mejor control de la hemodinamia y medio interno, donde estuvo 5 días, pasando luego a sala común, donde es dada de alta en muy buenas condiciones el día de hoy.
El equipo quirúrgico multidisciplinario estuvo conformado por:
Cirujanos: Dra. Mara Gimenez Dr. Christian Olmedo;Dr. Felipe Gavilán (Cirugía Vascular) ; Dra Janina Franco Dr. Carlos Escurra la Dra Nicole Noé y la Anestesióloga; Dra Jessica Villalba.

